種植失敗的骨增量處理一例



清創(chuàng)后,使用樹脂進行臨時粘接修復。三個月后復查,創(chuàng)口愈合良好。唇側明顯凹陷

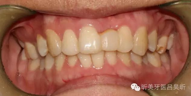
口內檢查見21唇側骨量喪失,軟組織塌陷

去除臨時修復體


設計牙槽嵴頂切口加22遠中垂直切口


翻瓣后可見牙槽骨頰舌向寬度明顯不足


翻瓣后,骨面徹底清創(chuàng),去除軟組織,骨面預備出血孔。

完成皮質骨預備,可見中部牙槽骨頰舌向穿通。去除穿通部位結締組織。

使用15C刀片切斷骨膜減張

沖洗預備后的骨面

選擇合適大小和形狀的鈦網(wǎng)就行修整

就位后檢查大小及貼合情況



骨缺損區(qū)植如BIO-OSS 骨粉


植骨完成后覆蓋鈦網(wǎng)



使用1.4mm直徑固位釘固定鈦網(wǎng),確保骨粉充填密實,鈦網(wǎng)無邊緣翹起。

修剪BIO-GIDE膠原膜

在鈦網(wǎng)上覆蓋第一層膠原膜

在穿通區(qū)腭側覆蓋第二層膠原膜

唇側雙側蓋膜

來源:吳昊昕
此文關鍵字:種植失敗的骨增量處理一例














