復雜CADCAM椅旁全瓷牙修復病例
患者中年女性,因全口牙周炎,牙列不齊,牙齒松動要求修復治療。
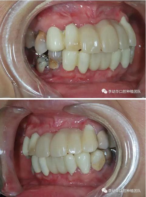
口腔檢查:全口情況見下圖;嚴重牙周炎,上下前牙牙列不齊,左上2反合,前牙輕度開合,11 21 22 松動3度樹脂固定,左上頜牙槽骨明顯凹陷。下頜31 41 松動3度。



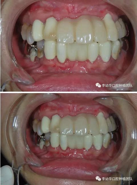
第一步計劃:拔除11 21 22,31 41松動牙,12 13 23 32 33 42 43備牙,制作樹脂臨時聯橋牙冠。帶牙后,反合糾正,牙弓形態(tài)恢復,牙冠偏長,與上頜牙槽粘膜間隙約2mm以上;面中1/3明顯凹陷。

第二階段:和患者溝通,左上頜進行GBR手術,增加左側面中豐滿度。

第三階段,重新設計臨時牙橋,進行試戴,調整咬合,恢復覆蓋復合,頸部間隙消失。


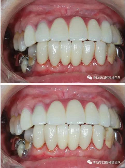
最終修復,重新精細備牙,口內掃描,設計,切割氧化鋯,染色,試帶合適,上牙齦瓷。



完成上下前牙的修復。
來源: 李幼華CADCAM團隊
此文關鍵字:宇森牙科電動馬達 |美學修復電動馬達















